Сеть стоматологий Астродент: можно ли сделать все зубы за один день?
Как вернуть утраченные зубы, реально ли получить белоснежную улыбку всего за один день, что такое инновационное протезирование? Стоматолог-имплантолог клиники "Астродент" Артём Кацанов пошагово рассказывает о новой технологии установки зубных имплантов.
По словам доктора "Астродент", инновационные технологии современной хирургии позволяют установить все зубы в течение одного дня.
Во время консультации врачи выявляют причины сложившейся проблемы, собирают полный анамнез здоровья человека, а затем делают 3-D снимок для дальнейшего планирования реабилитации. Дальше совместно с ортопедом и пациентом создают концепт будущей конструкции.
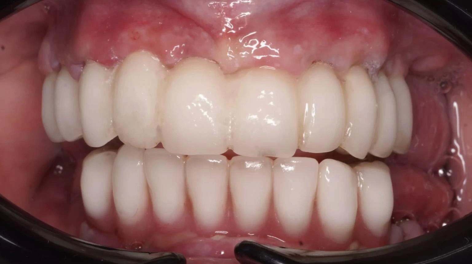
Одна из эффективных технологий, которая поможет вернуть утраченные зубы, - установка имплантационных систем по программе «Зубы за один день». То есть, «все-на-4» или «все-на-6». Получается, что нужно выбрать только необходимое количество имплантатов для конструкции (4 или 6). Все зависит от индивидуальной анатомии человека.

Это инновационная технология в хирургии, которая занимает гораздо меньше времени и стоит дешевле в сравнении с классической имплантацией. Вот основные преимущества:
- Утром заходите к стоматологу без зубов – вечером выходите с зубами
- Можно обойтись без дорогостоящей костной пластики
- Можно сразу жевать твёрдую пищу и не бояться, что протез выпадет
- Зубы выглядят максимально естественно
- Во время имплантации человек спокойно отдыхает в кресле, иногда смотрит телевизор или слушает музыку, всё по желанию. На это уходит от 1,5 до 3 часов в зависимости от степени сложности, - говорит доктор.
Удобно, что в лаборатории, которая находится прямо в клинике, изготавливают протезы. Не нужно ждать несколько дней, когда будет готов протез - потребуется всего несколько часов.
Установка временного протеза происходит в тот же день.
- Надо отметить, что с временным протезом обычно ходят до 6 месяцев. Возникает резонный вопрос: «Почему бы сразу не поставить постоянный?». Ответ достаточно простой. За время, пока человек с временным протезом, происходят биологические изменения десны и кости, также пациент понимает, что ему не нравится в этом протезе, например, форма зубов, цвет, - уточняет стоматолог.

Через полгода, когда все основные процессы формирования кости завершены, изготавливается постоянный протез из более эстетичного и износостойкого материала.
Стоматологические клиники «Астродент» уже 11 лет помогают ростовчанам избавляться от проблем с зубами и приобретать белоснежную и естественную улыбку.
Запишитесь на бесплатную консультацию в любой из наших клиник: 8 (863) 320-04-07
г. Ростов-на-Дону:
- пер. Братский, 46/16
- пр-т. Кировский, 126
- пр-т. Стачки, 55
- пр-т. Космонавтов, 14Б
г. Таганрог:
- ул. Сергея Лазо, 9
LjN8K3zXr